Во Франции опубликованы снимки с самым четким изображением человеческого мозга
Изображения получили с помощью самого мощного в мире магнитно-резонансного томографа
АНКАРА
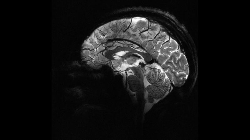
Французский научно-исследовательский институт Комиссариат по атомной и альтернативным видам энергии (Commissariat à l'énergie atomique et aux énergies alternatives, CEA) опубликовал самое четкое изображение человеческого мозга, полученное с помощью самого мощного в мире магнитно-резонансного томографа (МРТ).
Как заявили в CEA, снимок мозга, сделанный с помощью аппарата МРТ под названием Iseult, был получен в результате исследования, продолжавшегося более 20 лет.
В рамках исследований за последние несколько месяцев аппарат МРТ с магнитной силой 11,7 Теслабыл протестирован примерно на 20 здоровых добровольцах.
Благодаря аппарату, наиболее четкое изображение мозга удается получить почти за 4 минуты.
На получение таких же снимков с помощью обычных томографов, которые широко используются в больницах, понадобилось бы несколько часов, отметили французские ученые.
Руководитель проекта Iseult и директор CEA по исследованиям Николя Булан сказал, что исследования будут продолжаться еще несколько лет сцелью получить данные более высокого качества.
Цель института исследовать к 2026–2030 году множество заболеваний в области психиатрии, таких как шизофрения и биполярное расстройство, а также нейродегенеративные заболевания.
Ожидается, что сверхдетальная анатомическая информация, полученная с помощью новейшего МРТ, поможет диагностировать такие заболевания, как болезнь Альцгеймера и Паркинсона.
На веб-сайте агентства «Анадолу» в укороченном виде публикуется лишь часть новостей, которые предоставляются абонентам посредством Системы ленты новостей (HAS) АА.
